Мы перезвоним Вам через 15 мин
Основана на компьютерной томографии; цифровом паспорте пациента -3D Цефалометрии;
Больше о проверке и анализе результатов лечения, ортодонтии, протезирования методом наложения вы можете узнать здесь.




Полный расчет исходной ситуации в 3D цефалометрии. Составление плана лечения (ортосетап) в программе 3D Shape Ortodont.Загрузка КТ пациента-учет «движения корней» при лечении. Единственно правильный перенос положения брекетов или элайнеров - 3D печать полученного в программе результата (примеры представлены ниже на фото).









Диагностика и планирование лечения в артикуляторах KAVO,AmannGirrbach, аксиографе «Freecoder Blue Fox».


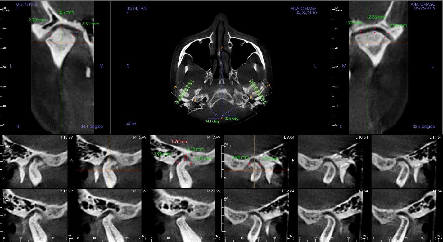
Индивидуальные параметры пациента: углы, плоскости, пути, положения элементов ВНЧС не только фиксируются ,но и самое главное переносятся в цифровом формате во фрезерный центр собственной лаборатории клиники.
Аппарат Zirkonzakhn:


Ниже представлены фото аппарата и примеры работ:




Ниже представлены фото аппарата и примеры работ:







Ниже представлены фото аппарата и примеры работ:



Печи и прессы (фото)


Наличие программного обеспечения позволяет использовать цифровые данные, полученные при диагностике в изготовлении протезов, шин, коронок без проблем «человеческого фактора», что очень важно при заболеваниях ВНЧС.
Отдельная от всех кабинетов операционная оснащена:
1.Лазер WaterLase
2.Ультразвуковой нож NSK
3.Физиодеспансер Kavo
4.Visalis.
Оснащение позволяет проводить все операции: удаление зубов,пластика мягких и твердых тканей,лор-операции и т.п.,используя разные методы,исходя из клинической ситуации.
Представлены 3 системы, годами зарекомендовавшие себя качеством, надежностью, наличием запчастей:
Костнопластические материалы:
Ostebiol, Osteos, Genos.
Мембраны: Lamina, Jason.
Губки: КП3, КП2.Тромбоцитарная плазма пациентов.
Лечение зубов, конечно же проходит под контролем с использованием микроскопа. Пломбирование каналов-визиограф, снимки. Пломбировочные материалы и микропротезы (вкладки онлей, инлей) все это и многое другое присутствует в кабинетах терапевтов клиники.